![]()  | 
| Masculino de 5 años de edad que acude a la consulta por  presentar hallazgo casual en la radiografía panorámica.  | 
![]()  | 
| Porción de la cápsula quística. | 
![]()  | 
| Y el germen del primer premolar superior izquierdo. | 
![]()  | 
| Primer control radiográfico a los 3 meses.  Nótese la imagen radio-opaca del tubo de polietileno dentro de la cavidad, así como el cambio de posición del canino.  | 
![]()  | 
| Tercer control radiográfico a los 9 meses. Se eliminó el tubo de polietilino, se continúa apreciando la erupción espontánea del canino y del segundo premolar.  | 
![]()  | 
| Cuarto control radiográfico a los 12 meses (1 año). | 
![]()  | 
| Sexto control radiográfico a los tres (3) años. Se observa la erupción completa del canino permanente en lugar del primer premolar y como el segundo premolar sustituyó al segundo molar temporal.  | 
![]()  | 
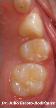
| Control clínico a los tres (3) años, de igual fecha a la radiografía anterior.  | 
![]()  | 
| Control clínico a los 4 años, de igual fecha a la radiografía anterior. Control clínico y radiográfico a los 8 años. Nótese la ausencia del canino temporal superior izquierdo.  | 















